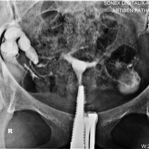
HSG ::; HYSTEROSALPINGOGRAPHY
IT IS DYE STUDY OF UTERUS AND BOTH FALLOPIAN TUBES FOR PATENCY OR BLOCK
IT IS DONE ON IITV X.RAY TABLE ,DYE INJECTION BY GYENECOLOGIST.