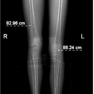
SCANOGRAM
icon

 FULL LENGTH X RAY OF BOTH LEG IN ONE FILM